

Tanpa pemotongan gigi pun laminating dapat dilakukan, namun mempertimbangkan pula perlunya dilakukan pemangkasan 0.3mm-0.8mm untuk menempelkan keramik.


Emax Laminate

ODNY Laminate

All Ceramic

Gum aesthetic surgery

Bila ada yang ingin ditanyakan, konsultasi dari bagian yang bersangkutan akan diberikan dengan senang hati.

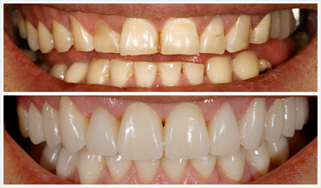
Dengan melihat foto hasil sesudah operasi, akan tampak adanya perubahan yang cantik.

Cerita nyata tentang terjadinya perubahan yang mengagumkan.
Kami memberi layanan konsultasi secara personal bagi para klien.
hari kerja 10:00 ~ 19:00
hari kerja 10:00 ~ 16:00